פריקות ירך הן סיבוך אפשרי לאחר החלפת מפרק ויכולים להיגרם ממספר סיבות הקשורות לרקמה הרכה, לגודל ראש הירך ומיקום המשתלים.
שכיחות וגורמי סיכון
מדובר בסיבוך המתרחש בשיעור של 1-3%, כאשר כל 5 שנים מהניתוח הסיכון לפריקה עולה ב-1% כך ש25 שנים מהניתוח הסיכון לפריקה הוא כ 7%. ברוב המקרים הפריקה אחורית. ישנם מספר גורמי סיכון לפריקות וביניהן ניתוח רביזיה, מין (נשים), גיל מעל 70-80, גישה ניתוחית אחורית למפרק הירך, בעיות נוירו-מסקולריות, ניתוחי קיבוע עמו"ש, וכן שימוש בסמים ואלכוהול. גורמי סיכון טכניים כוללים הטיה קדמית או אחורית של המשתלים, שימוש בראשים קטנים ו-Offset לא מספק. גורם סיכון נוסף הוא שחיקה של הפוליאטילן (מרכיב הפלסטיק במשתל), לרוב שנים רבות מהניתוח.
תלונות ובדיקה פיזיקלית
פריקה לרוב מתרחשת בזמן תנועת מעבר היכולה להתרחש תוך כדי פעילות יומיומית כגון ישיבה בכיסא נמוך, קימה לעמידה וקשירת שרוכים. המטופל ירגיש בכאב פתאומי ועז מלווה בעיוות של הרגל. עיוות הרגל כתלות בכיוון הפריקה.
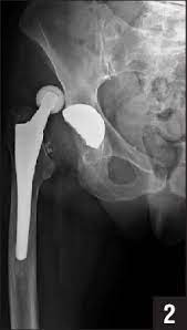
צילומים
צילומי רנטגן פשוטים יראו פריקה ואת כיוונה (אחורית או קדמית). צילומי רנטגן יכולים לעיתים לרמוז על סיבת הפריקה כגון מיקום לא אופטימלי של המשתלים או שחיקה של הפוליאטילן. לעיתים כשהתמונה לא ברורה ל CT יש תפקיד נוסף במיקום המשתלים.

פרוגנוזה
מועד הפריקה ביחס לניתוח הוא גורם פרוגנוסטי חשוב. רוב הפריקות מתרחשות בשבועות 4-6 מהניתוח ובמקרים אלו הפרוגנוזה טובה יותר כאשר כ 1/3 מהם יסבלו מפריקות חוזרות. לעומת זאת, אם הפריקה מתרחשת 6 שבועות מהניתוח והלאה, הסיכון לפריקות חוזרות עולה ל-55%.
טיפול
החלטה על הטיפול נובעת בראש ובראשונה מהסיבה אשר בגינה הפריקה התרחשה. ברוב המקרים, אם אין סיבה ברורה לעין שגרמה לפריקה, ניתן לטפל שמרנית על ידי רדוקציה סגורה (החזרה של ראש הירך למקום באמצעות מניפולציה לרגל) וללא צורך בניתוח. במקרים אלו לרוב יורכב גבס או מחוך ירך או ברך לאחר ההחזרה לתקופה של מספר חודשים בכדי למנוע פריקות נוספות.
במקרים בהם טיפול שמרני כשל, או כאשר יש סיבה ברורה לעין לפריקה – כגון מיקום לא אופטימלי של המשתלים או שחיקה של הפוליאטלין יש לשקול טיפול ניתוחי. כתלות במיקום המשתלים וגודל הראש הניתוח האפשרי נע בין החלפה של מרכיב הפוליאטילן/ראש בלבד לבין רביזיה מלאה להחלפה של הסטם ו/או האצטבלום. ישנם מספר משתלים אשר תפקידם להוריד את הסיכון לפריקות חוזרות ביניהן משתל מסוג Dual Mobility או מסוג של Constrained. באנשים עם פריקה בעבר או אשר בסיכון מוגבר לפריקות חוזרות יש לשקול שימוש במשתלים אלו.
